
Eat Well, Look Good. At every age.
Missing Teeth? Poor Fitting Dentures?
Not Any More..
We have the perfect solutions for all your teeth Problems?
Advanced Teeth Replacement Options
At Dentessence, we specialize in providing advanced digital dental implants in Noida, offering solutions for all missing teeth, from single implants to full mouth restorations tailored to fit every need and budget. Our Treatments are fully digitally planned so that your smile is predictable, functional and Esthetically pleasing.
We are the only Dental clinic in Noida with fully digital dental Implants facilities. Including Digital Planning and 3D printing for Guided Dental Surgeries.


Dental Implants
Over- Dentures
Our services include dentures, overdentures, and implant-supported teeth, ensuring that we have the perfect solution for every patient, regardless of their dental needs or financial considerations.
Over Dentures and Removable Dentures Supported by A few Remaining Natural Teeth or with 2 Dental Implants.
This Helps in keeping the Dentures secure and stable during chewing and feel just like fixed teeth.
Dentures

Exclusive Benefits with us.
Comprehensive care for all missing teeth, tailored to fit your needs and budget.
Best Options only.
We understand that you need teeth and not necessarily implants. Implants may not always be the best option to replace missing teeth. Based on your case, we will suggest you the best possible options to suit your requirements.


Digital Intraoral Scanning
A 3D intraoral Scan is done to make a 3D model of your mouth. This coloured model can be used to diagnose, plan and execute our treatment plan.
We Understand Science of Implants
Our Specialist dentists understand the science of implants. They are all well trained and experts in their fields with substantial academic and clinical experience.
Computer Guided Implantology
Studies have shown that failure rate of Guided Implants is upto 3 times lower than free hand Implants.
British Dental Journal open(2021)
Convenience
We value your time and comfort. we have streamlined our workflow to minimise your visits.
Affordable
While providing advanced technology and convenience, we also help you save money along the way. Our dental treatments are upto 40% cheaper than comparable options.




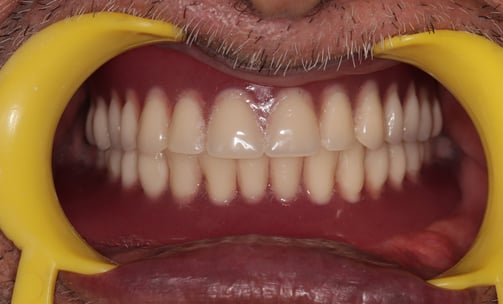
Gallery
Explore stunning before and after transformations in our gallery.


Customer Reviews
Hear from our satisfied clients about their dental implant experiences.
The team at Dentessence transformed my smile with their advanced implants.
Rajesh Kumar
Noida
I had a fantastic experience at Dentessence. The staff was professional, and my implants feel great. Highly recommend for anyone needing dental solutions!
Anita Singh
Delhi
★★★★★
★★★★★
Dr.Gaurav is an excellent doctor. I had been to him to get a few fillings done. Also had to get my wisdom tooth extracted. Was pretty nervous.. but it was painless n in a matter of few minutes the tooth was out.
I really recommend you try visiting him once. He s got magical fingers n he’s very good at his job. I vouch you won’t be disappointed.
